Understanding PWS

May is Prader-Willi Syndrome Awareness month. Together we will help to raise awareness of this complex syndrome and its many aspects which effect our adults, children and their families on a daily basis.

What is Prader-Willi Syndrome?

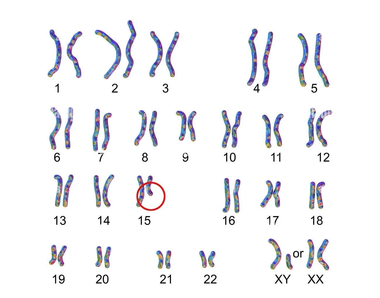
Prader-Willi syndrome (PWS) is a genetic condition. It is caused by missing genes on chromosome 15. This happens by chance. Although it has no cure, treatment, especially if received early on, can help with symptoms.

Karyotype of Prader-Willi syndrome

The Symptoms

Signs and symptoms of Prader-Willi syndrome can vary among individuals. Symptoms may slowly change over time from childhood to adulthood.

Infants

Signs and symptoms that may be present from birth include:

  • Poor muscle tone. A primary sign during infancy is poor muscle tone (hypotonia). Babies may rest with their elbows and knees loosely extended instead of fixed, and they may feel floppy or like rag dolls when they're held.

  • Distinct facial features. Children may be born with almond-shaped eyes, a narrowing of the head at the temples, a turned-down mouth and a thin upper lip.

  • Poor sucking reflex. Infants may have a poor sucking reflex due to decreased muscle tone. Poor sucking makes feeding difficult and can result in failure to thrive.

  • Generally poor responsiveness. A baby may seem unusually tired, respond poorly to stimulation, have a hard time waking up or have a weak cry.

  • Underdeveloped genitals. Males may have a small penis and scrotum. The testicles may be small or not descended from the abdomen into the scrotum (cryptorchidism). In females, the clitoris and labia may be small.

Early childhood to adulthood

Other features of Prader-Willi syndrome appear during early childhood and remain throughout life, requiring careful management. These features may include:

  • Food craving and weight gain. A classic sign of Prader-Willi syndrome is a constant craving for food, resulting in rapid weight gain, starting around age 2 years. Constant hunger leads to eating often and consuming large portions. Unusual food-seeking behaviours, such as hoarding food, or eating frozen food or even garbage, may develop.

  • Underdeveloped sex organs. A condition called hypogonadism occurs when sex organs (testes in men and ovaries in women) produce little or no sex hormones. This results in underdeveloped sex organs, incomplete or delayed puberty, and in nearly all cases, infertility. Without treatment, women may not start menstruating until their 30s or may never menstruate, and men may not have much facial hair and their voices may never fully deepen.

  • Poor growth and physical development. Underproduction of growth hormone can result in short adult height, low muscle mass and high body fat. Other endocrine problems may include underproduction of thyroid hormone (hypothyroidism) or central adrenal insufficiency, which prevents the body from responding appropriately during stress or infections.

  • Cognitive impairment. Mild to moderate intellectual disability, such as issues with thinking, reasoning and problem-solving, is a common feature of the disorder. Even those without significant intellectual disability have some learning disabilities.

  • Delayed motor development. Toddlers with Prader-Willi syndrome often reach milestones in physical movement — for example, sitting up or walking — later than other children do.

  • Speech problems. Speech is often delayed. Poor articulation of words may be an ongoing problem into adulthood.

  • Behavioural problems. Children and adults may at times be stubborn, angry, controlling or manipulative. They may throw temper tantrums, especially when denied food, and may not tolerate changes in routine. They may also develop obsessive-compulsive or repetitive behaviours, or both. Other mental health disorders, such as anxiety and skin picking, may develop.

  • Sleep disorders. Children and adults with Prader-Willi syndrome may have sleep disorders, including disruptions of the normal sleep cycle and a condition in which breathing pauses during sleep (sleep apnea). These disorders can result in excessive daytime sleepiness and worsen behaviour problems.

  • Other signs and symptoms. These may include small hands and feet, curvature of the spine (scoliosis), hip problems, reduced saliva flow, nearsightedness and other vision problems, problems regulating body temperature, a high pain tolerance, or a lack of pigment (hypopigmentation) causing hair, eyes and skin to be pale.

Living with Prader-Willi syndrome

Diagnosing PWS as early as possible allows treatments that can help significantly with some of the symptoms. For example, a lack of height can be treated with growth hormone.

People with PWS simply cannot control their appetite — their brain doesn’t tell them they have had enough to eat. They also need far fewer calories than other people. They need care to keep them away from food and control their weight.

They will have a range of learning difficulties even if their IQ is not affected. They have poor social and emotional skills and are likely to have a lot of tantrums. They get tired easily and can fall asleep during the day.

Ideally, people with PWS will receive treatment and support from a whole team of health professionals. Australian guidelines recommend that doctors refer all children they see with PWS to a specialist PWS clinic (available in most capital cities) for additional care.

Children with PWS are usually able to go to school and may go on to work in supported employment. However, because of their uncontrollable appetite and other issues, adults with PWS are often not able to live independently. Adults with PWS are also more at risk of developing serious health problems linked with obesity, such as diabetes and heart disease.

Resources and support

Support for people with Prader-Willi syndrome and their families is available from the Prader-Willi Syndrome Association of Australia website.

Visit healthdirect's genetic disorders guide to learn more about genes, types of genetic disorders and where to go for help and more information.

Sources:

Brain Foundation (Prader-Willi syndrome), Raising Children Network (Prader-Willi syndrome), RACGP (Prader-Willi syndrome: Care of adults in general practice), Garvan Institute of Medical Research (Prader-Willi syndrome), Prader-Willi Syndrome Australia (About Prader-Willi Syndrome)

Last reviewed: September 2020

Previous
Previous

Parental Stress Management

Next
Next

Get Inspired!